Book Appointment Now

5 Signs You Shouldn’t Ignore: When Your Gums Are Trying to Tell You Something
At Pearly White Dental & Implant Clinic, we often see patients who wait until pain becomes unbearable before visiting the dentist. But did you know your gums start whispering signs of trouble much earlier?
Here are 5 warning signs from your gums that you should never ignore:
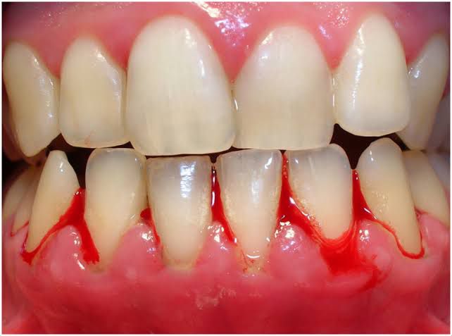
- Bleeding While Brushing or Flossing

A little pink in the sink might seem harmless, but bleeding gums can be an early sign of gingivitis the first stage of gum disease. It’s your body’s way of saying: “Hey, something’s not right!”
What you can do:
Don’t stop brushing get your gums professionally checked and cleaned.
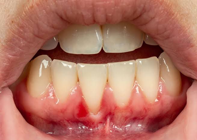
- Red, Swollen, or Tender Gums

Healthy gums are firm and pink. If yours look red or feel puffy and sore, there’s likely inflammation due to plaque buildup.
Pro Tip:
Rinse with saltwater, but don’t skip a dental visit. Inflammation left untreated can lead to periodontitis.
- Receding Gums

Are your teeth starting to look longer? That’s not age it might be gum recession. This can expose the sensitive tooth roots and make your teeth feel loose over time.
Why it matters:
Gum recession can be corrected with periodontal procedures if caught early.
- Persistent Bad Breath
If you have bad breath that doesn’t go away even after brushing, your gums could be the culprit. Bacteria under the gum line release foul-smelling toxins.
Treatment:
Professional deep cleaning or scaling and root planning may be necessary.
- Loose Teeth or Shifting Bite
Adult teeth shouldn’t move. If they do, it’s often a sign of advanced gum disease, affecting the bone underneath.
Solution:
Early intervention with periodontal therapy or even dental implants can restore function and stability.
Don’t Wait for the Pain
Gum disease is mostly silent until it’s serious. At Pearly White Dental & Implant Clinic, we specialize in preventive dentistry and periodontal care, including root coverage procedures that restore your gum health and confidence.
Book your consultation today and let’s keep your smile healthy from the roots up.
Visit us in Besa or book online today.
Your gums are talking. Are you listening?



